Patellaluxation beim Hund: Symptome, Ursachen & Behandlung Dieser Artikel ist tierärztlich verifiziert

Seit Neuestem hüpft Ihr kleiner Vierbeiner beim Spaziergehen nur auf einem Hinterbein, dabei scheint er aber gar keine Schmerzen zu empfinden? Dann könnte es sein, dass Ihr Hund eine Patellaluxation hat! Was das für Ihren Liebling bedeutet und wie Sie eine Patellaluxation beim Hund erkennen können, erfahren Sie hier.

Patellaluxation beim Hund

Der Havaneser hat seine OP wegen einer Patellaluxation gut überstanden.

Rasseprädisposition: Welche Rassen sind besonders betroffen?

Verlagert sich die Kniescheibe (Patella) aus der sogenannten Rollfurche des Kniegelenks (Sulcus trochlearis), dann bezeichnen Tierärzte dies als Luxatio patellae oder Patellaluxation – einfach gesagt, Kniescheibenluxation.

Besonders kleine Hunderassen erkranken häufiger an einer Patellaluxation. Dazu zählen zum Beispiel Chihuahuas, Französische Bulldoggen, Malteser und Yorkshire Terrier. Nichtsdestotrotz kann sich auch die Kniescheibe großer Hunderassen verschieben.

Symptome: Was sind Anzeichen für eine Patellaluxation beim Hund?

Die Krankheitszeichen variieren je nach Form und Grad der Patellaluxation. Allgemein verändert sich durch diese Kniegelenksverletzung das Gangbild Ihres Hundes.

Wie sieht das Gangbild bei Patellaluxation aus?

Typischerweise zeigen Junghunde mit angeborener, beidseitiger Luxation ein gebücktes Gangbild der Hintergliedmaßen. Sie haben oftmals Schwierigkeiten beim Treppensteigen, beim Springen und/ oder Hinlegen. Tritt die Patellaluxation nur einseitig auf, heben die betroffenen Hunde das erkrankte Bein über mehrere Schritte hinweg.

Ältere Hunde mit spontanen Luxationen können allerdings neben einer Lahmheit auch plötzlich aufkommende Schmerzen äußern. Diese treten insbesondere dann auf, wenn ein traumatischer Vorfall weitere Strukturen des Knies verletzt hat (z.B. Kreuzbandriss).

Diagnose: Wie wird eine Patellaluxation beim Hund nachgewiesen?

Lahmt Ihr Hund, kann dies ein Zeichen für eine ernst zu nehmende Erkrankung oder Verletzung des Bewegungsapparates sein. Deshalb ist es wichtig, dass Sie bei anhaltender Lahmheit Ihren Tierarzt zurate ziehen.

Untersuchung beim Tierarzt

Um den Verdacht einer Patellaluxation bei Ihrem Hund zu bestätigen, tastet Ihr Tierarzt das Knie vorsichtig ab und prüft, in welchem Ausmaß und in welche Richtung die Kniescheibe Ihres Hundes verschiebbar ist. Dazu streckt und beugt er das Kniegelenk unter zunehmendem Druck auf die Patella.

Anhand der Beobachtungen teilt Ihr Tierarzt die Kniescheibenverlagerung in vier Grade ein:

GradSymptomatik
1Eine manuelle und selten spontane Verlagerung ist möglich, jedoch springt die Kniescheibe meist spontan wieder zurück (Spontanreposition).
2Eine manuelle und spontane Lageveränderung sowie Reponierung ist möglich.
3Die Kniescheibe bleibt luxiert und springt nach manueller Reposition wieder zurück.
4Die Kniescheibe ist dauerhaft luxiert, eine manuelle Reposition ist nicht möglich.

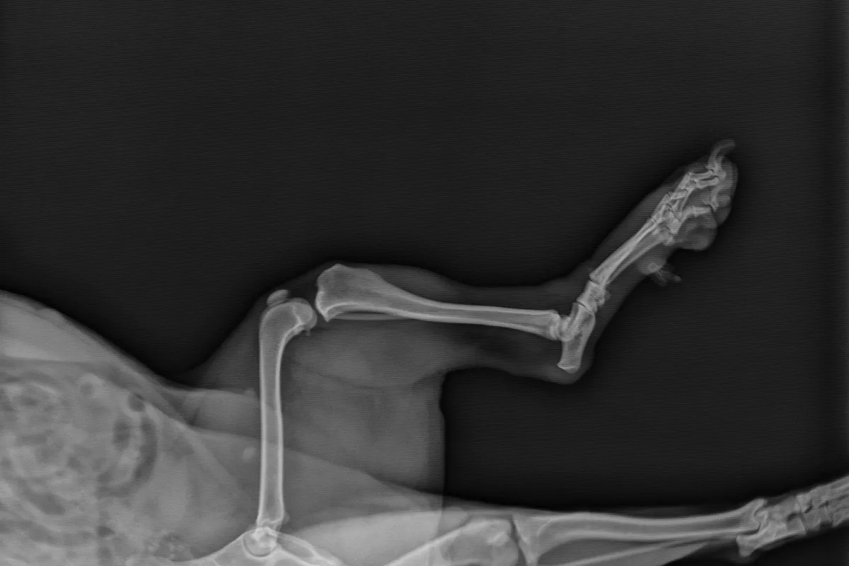
Um einen genaueren Blick auf die Lage der Kniescheibe und umliegende Strukturen werfen zu können, führt Ihr Tierarzt anschließend eine Röntgenuntersuchung durch. Diese trägt außerdem dazu bei, den Winkel der Luxation bestimmen zu können.

Patellaluxation beim Hund © AlexandruPh / stock.adobe.com
Ein Röntgenbild eines Hundes mit Blick auf das linke (oben) und rechte Knie (unten).

Therapie: Ist eine Operation bei einer Patellaluxation bei Hunden notwendig?

OP ja oder nein? Nicht immer erfordert eine Patellaverlagerung beim Hund eine chirurgische Behandlung. So ist die Lebensqualität von Hunden mit Grad 1 und teilweise Grad 2 häufig uneingeschränkt. Ist eine Therapie notwendig, können in leichteren Fällen eine gesunde Gewichtsreduktion, Physiotherapie und/ oder entzündungshemmende Medikamente bzw. Schmerzmittel eine alternative Behandlung darstellen.

Was tun bei Patellaluxation beim Hund?

Bei höheren Gradeinstufungen und wiederkehrenden Schmerzen ist allerdings eine Operation empfehlenswert. Denn so können die Beschwerden Ihres Hundes gelindert werden. Dazu vertieft der Tierarzt den sogenannten Rollknorpel (Trochlea), verschiebt einen bestimmten Knochenfortsatz am oberen Ende des Schienbeinknochens (Tuberositas tibiae) und führt eine Raffung der Gelenkkapsel durch.

Ist der Knorpel des Gelenks beschädigt (Arthrose), kann Ihr Tierarzt die Gelenkfläche mithilfe eines Implantats aufbauen. Des Weiteren kann er schwere Fehlstellungen der Knochenachsen von Oberschenkel und Unterschenkel operativ korrigieren.

Wie geht es nacht der OP weiter?

Nach der Knieoperation muss sich Ihr Hund für etwa sechs Wochen auskurieren. Daher sind in dieser Zeit sportliche Aktivitäten tabu! Den Therapieerfolg überprüft Ihr Tierarzt etwa zwei Monate nach dem Eingriff mittels einer Röntgenuntersuchung. Eine nachfolgende Physiotherapie ist empfehlenswert, um durch spezielle Übungen die umliegende Muskulatur schonend aufzubauen.

OP-Kosten: Was kostet die operative Behandlung einer Patellaluxation?

Die Kosten der OP hängen von vielen Faktoren ab, die den Aufwand des Eingriffes bestimmen. Zu den Kosten der Operation an sich gesellen sich die Ausgaben der anfallenden Vor- und Nachuntersuchungen, der verschriebenen Medikamente (z.B. Schmerzmittel und Antibiotika) und verwendeten Materialien.

Während des Notdienstes sowie an Wochenenden steigen zudem die Behandlungskosten, sodass ein Betrag von mehreren Tausend Euro schnell erreicht ist. Für einen Kostenvoranschlag können Sie sich bei Ihrem Tierarzt erkundigen.

Welche Hundeversicherung übernimmt die Behandlugskosten?

Der rechtzeitige Abschluss einer Hundekrankenversicherung kann vor hohen Tierarztrechnungen schützen. Hierbei stehen reine OP-Versicherungen sowie Vollkrankenversicherungen für Hunde zur Wahl, die neben Operationen auch weitere Behandlungen beim Tierarzt abdecken. Die Kosten und Leistungen können demnach sehr unterschiedlich ausfallen. Wenn Sie über einen Abschluss nachdenken, sollten Sie sich im Vorfeld gut informieren und die im Vertrag genannten Versicherungsbedingungen genau durchlesen.

Was sollte ich meinem Hund bei einer Patellaluxation füttern?

Unterstützend können Sie Ihrem Liebling spezielles Hundefutter zur Förderung der Mobilität reichen. Dieses enthält Inhaltsstoffe wie Omega-3-Fettsäuren, die sich positiv auf den Gelenkstoffwechsel auswirken können. Darüber hinaus sind Futterergänzungen wie Grünlippmuschelpulver und Glucosamin erhältlich, die eine positive Wirkung auf den Knorpel haben können. Allerdings sollten Sie jede Futterumstellung vorab mit Ihrem Tierarzt absprechen.

Ursachen: Was sind die Auslöser für eine Patellaluxation beim Hund?

Die Verlagerung der Kniescheibe kann bei Hunden entweder permanent (stationäre Patellaluxation) oder wiederkehrend (habituelle Patellaluxation) auftreten. Außerdem unterscheiden Spezialisten zwischen einer Verschiebung nach innen (medial) und außen (lateral), was unterschiedlichen Ursprungs ist.

Die laterale Patellaluxation

Diese Form der Patellaluxation tritt seltener auf, dann jedoch gehäuft bei größeren Hunden. Ärzte vermuten, dass sich die Kniescheibe nach außen luxiert, da eine Verdrehung des Oberschenkelknochens sowie eine Achsenfehlstellung des Oberschenkelhalses (Coxa valga) die mit der Kniescheibe verbundene Muskulatur verschiebt.

Die mediale Patellaluxation

Die mediale Patellaluxation tritt am häufigsten auf. Als Ursache kommt entweder eine angeborene oder erworbene Achsenfehlstellung der Hinterbeine infrage. Die Hinterbeine ergeben dadurch eine O-Form, die bei Muskelkontraktion die Kniescheibe aus ihrer natürlichen Stellung schiebt. Ist Ihr Hund genetisch vorbelastet, treten die Symptome einseitig oder beidseitig, meist bereits vor dem ersten Lebensjahr auf.

Prognose: Wie sind die Heilungschancen?

In den letzten Jahren hat sich die Prognose einer Kniescheibenverlagerung beim Hund durch die voranschreitenden tiermedizinischen Operationstechniken deutlich gesteigert. Obwohl die Prognose in jedem Fall vom Schweregrad der Verlagerung und dem Vorkommen von Knorpelschäden abhängt, verspricht eine frühzeitige Operation meist einen guten Therapieerfolg.

Wie hoch ist die Lebenserwartung eines Hundes mit Patellaluxation?

Nicht jede Form der Patellaluxation geht mit Beschwerden wie Schmerzen, Lahmheit und/ oder eingeschränkter Beweglichkeit einher. Bei Hunden mit Grad 1 fällt sie oft nicht einmal auf – und wenn doch, muss man sie normalerweise nicht operieren.

Bei schwereren Formen haben Faktoren wie die Ursache der Patellaluxation, der Zeitpunkt der Diagnose sowie das Alter und der allgemeine Gesundheitszustand des Hundes Einfluss auf den Behandlungserfolg. Von Letzterem hängen wiederum die Lebensqualität und letztlich auch die Lebenserwartung des betroffenen Vierbeiners ab.

Vorbeugung: Kann eine Patellaluxation beim Hund verhindert werden?

Obwohl eine trainierte Muskulatur der Oberschenkel die Position der Kniescheibe fixiert, verhindert dies nicht immer eine Patellaluxation. Durchaus wichtiger ist die sogenannte zuchthygienische Untersuchung von Zuchttieren, um die Geburt gesunder Welpen ohne angeborene Patellaluxation zu ermöglichen.

Quellen:


Profilbild von Tierärztin Franziska Gütgeman mit Hund

An der Justus-Liebig-Universität Gießen wurde ich zur Tierärztin ausgebildet und durfte Erfahrungen in verschiedensten Bereichen sammeln. Seitdem arbeite ich nicht nur als tierärztliche Autorin, sondern auch an meiner Dissertation. Mein Ziel ist es, Tiere vor krankheitserregenden bakteriellen Erregern zukünftig besser zu schützen. Neben meinem tierärztlichen Wissen teile ich meine eigenen Erfahrungen als glückliche Hundebesitzerin. Dadurch kann ich Ängste und Probleme nachvollziehen und zugleich über diese aufklären.


Unsere beliebtesten Beiträge
13 min

Läufigkeit bei der Hündin: Anzeichen, Dauer & Phasen

Wann tritt die erste Läufigkeit bei Hündinnen ein? Wie oft und wie lange ist eine Hündin läufig? Und welche Symptome zeigt eine läufige Hündin? Alles, was Sie über die „heißen Tage“ wissen sollten und wie Sie und Ihre Hündin die Zeit der Läufigkeit stressfrei überstehen, erfahren Sie im folgenden Artikel.

7 min

Bauchspeicheldrüsenentzündung beim Hund (Pankreatitis)

Die Bauchspeicheldrüse ist ein wichtiges Bauchorgan, das Verdauungsenzyme für den Magen-Darm-Trakt bildet und speichert. Tritt eine Bauchspeicheldrüsenentzündung beim Hund (Pankreatitis) auf, kann dies weitreichende Auswirkungen auf seine Gesundheit haben. Lesen Sie im folgenden Artikel alles, was Sie über diese Krankheit wissen müssen.